您所在的位置:
首页 新闻列表 文章详情

病例分享 | 重型颅脑损伤早期补充肠外营养1例

2024年06月11日 来源中国临床案例成果数据库 阅读:231次

 

摘要

 

病史摘要:患者,男性,54岁,以“头部外伤致意识障碍1d余”为主诉入院。

 

症状体征:患者神志昏迷,气管插管通畅在位,呼吸机辅助呼吸,GCS评分6T(E1VTM5),双侧瞳孔等大等圆,直径约2.0 mm,直接、间接对光反射均消失,颈阻阳性,约3横指,四肢肌力检查不配合,刺痛四肢均可屈曲,肌张力正常,腱反射存在,双侧病理征阳性。

 

诊断方法:结合患者病史、体征、影像学检查和血液指标检测,诊断:

(1)左颞叶脑挫裂伤伴脑内血肿形成;

(2)左侧小脑蚓部血肿;

(3)右顶叶脑挫伤;

(4)左额颞顶部硬膜外血肿;

(5)左额颞顶部硬膜下血肿;

(6)蛛网膜下腔出血;

(7)双侧顶骨骨折;

(8)头皮血肿;

(9)双侧胸腔积液;

(10)左侧气胸;

(11)右侧锁骨中外段骨折;

(12)左侧第3/7/8/9背肋骨骨折。

 

治疗方法:急诊行“左侧颅内血肿清除术+去骨瓣减压术”,术后肺部感染重,予以重症监护、监测颅内压、脱水降颅压、肠内肠外营养支持、补液、预防癫痫、抗感染等治疗,待病情稳定后,行康复治疗和颅骨修补手术。

 

临床转归:治愈。

 

关键词:颅脑损伤;肠外营养;肠内营养;早期

 

神经危重症患者的适当营养目标至今尚未有定论,美国肠外和肠内营养(ASPEN)(2016)、欧洲肠外和肠内营养学会(ESPEN)(2019)以及《中国神经外科重症患者营养治疗专家共识》(2022)均推荐尽早开始肠内营养。对于创伤性脑损伤患者,在危重症的早期阶段增加热量供应与死亡率降低有关[1]。然而,单纯肠内喂养可能无法全面满足各类重型颅脑脑损伤人群的营养需求[2]。本文报道1例早期补充肠外营养的以重型颅脑损伤为主要表现的多发伤患者,旨在提示当肠内营养不足以提供足够的能量和蛋白质,早期补充肠外营养可以安全地促进营养目标的实现。

 

临床资料

 

1.一般资料

 

患者,男性,54岁,于2022年12月以“头部外伤致意识障碍1d余”为主诉入院。

 

缘于1d余前因意外车祸致头部着地受伤,当即出现意识不清,呼之不应,急诊120送至当地医院,完善相关检查后,考虑重型颅脑损伤,给予重症监护、补液、脱水等对症支持治疗,期间呼吸状况欠佳,给予气管插管和呼吸机辅助,患者症状未见改善,遂办出院并转诊本院。

 

既往史:无特殊。

家族史:无特殊。

冶游史:无特殊。

手术史:无。

入院体格检查:体温36.8℃,心率69次/min,呼吸16次/min,血压123/73 mmHg(1 mmHg=0.133 kPa)。头颅大小正常,无畸形,外耳道及鼻腔未见活动性出血,双肺呼吸音粗,未闻及明显干湿啰音,心脏听诊未闻及明显病理性杂音,腹软。神志昏迷,气管插管通畅在位,呼吸机辅助呼吸,GCS评分6T(E1VTM5),双侧瞳孔等大等圆,直径约2.0 mm,直接、间接对光反射均消失,颈阻阳性,约3横指,四肢肌力检查不配合,刺痛四肢均可屈曲,肌张力正常,腱反射存在,双侧病理征阳性。

 

2.检查

 

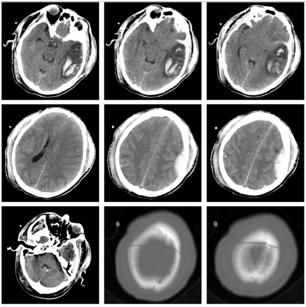
2022年12月15日入院急诊颅脑CT检查结果提示:左颞叶脑挫裂伤伴脑内血肿形成,左侧小脑蚓部血肿,右顶叶脑挫伤,左额颞顶部硬膜外血肿,左额颞顶部硬膜下血肿,蛛网膜下腔出血,双侧顶骨骨折,头皮血肿(图1)肺部CT检查结果提示:双肺多发渗出,下肺不张,双侧胸腔积液,左侧气胸,右侧锁骨中外段骨折,左侧3、7、8、9背肋骨骨折,右侧第5前肋骨皮质扭曲(图2A、B)

 

2022年12月19日肺部CT检查结果提示:双肺广泛多发渗出,肺不张,较前明显加重,双侧胸腔积液,右侧锁骨中外段骨折,左侧3、7、8、9背肋骨骨折,右侧第5前肋骨皮质扭曲(图2C)

 

图1 患者术前颅脑CT

 

图2 患者术前及术后肺部CT;A、B:术前;C:术后4d;D:术后2个月

 

2023年2月14日肺部CT检查结果提示:双肺炎性改变较前明显好转,右侧锁骨、双侧多根肋骨骨折后改变,气管切开术后改变(图2D)

 

2023年2月14日颅脑CT平扫结果提示:左侧颞顶叶血肿+左侧额颞顶硬膜下、硬膜外血肿清除术后改变,术区血肿已基本吸收,中线居中(图3A)

 

2023年3月23日颅脑CT平扫结果提示:左侧额颞顶颅骨修补术后改变(图3B)

 

图3 患者术后颅脑CT;A:术后2个月;B:术后3个月颅骨修补

 

3.诊断与鉴别诊断

 

入院诊断:

(1)左颞叶脑挫裂伤伴脑内血肿形成;

(2)左侧小脑蚓部血肿;

(3)右顶叶脑挫伤;

(4)左额颞顶部硬膜外血肿;

(5)左额颞顶部硬膜下血肿;

(6)蛛网膜下腔出血;

(7)双侧顶骨骨折;

(8)头皮血肿;

(9)双侧胸腔积液;

(10)左侧气胸;

(11)右侧锁骨中外段骨折;

(12)左侧第3/7/8/9背肋骨骨折。

 

4.治疗

 

入院后完善相关检查,告知家属病情危重,于2022年12月15日急诊入手术室行“左侧颅内血肿清除术+去骨瓣减压术”,手术顺利,术后安返重症病房。

 

监测颅内压初始值17 mmHg,予以重症监护、脱水降颅压、监控血压、持续监测颅内压、止血、呼吸机辅助呼吸、补液、预防癫痫等对症支持处理。

 

术后第1天,患者颅内压波动于16~18 mmHg,继续给予甘露醇脱水降颅压缓解病情,同时保持补液、预防癫痫等综合治疗,行NRS2002营养风险筛查评分3分,存在营养风险,予以开始肠内营养支持(20~25 ml/h)提供初步热卡,同时给予氨基酸静脉输注,并拟在4d内逐渐增加至目标营养[20~25 kcal/(kg·d)]。

 

于术后第3天患者颅内压监测仍偏高,波动于16~19 mmHg,继续保持甘露醇脱水和适当液体量,同时发现患者胃排空弱,有反流误吸,给予肠内营养适当减量,并加用促胃肠动力药。

 

术后第4天患者胃肠道耐受性仍差,每6小时测定的胃残留量均超过150 ml,肠内营养补充的热量仅勉强约60%[12 kcal/(kg·d)],结合患者生化白蛋白指标持难以上升,遂启动补充肠外营养三升袋,同时考虑患者肺部感染重,伴有发热,在抗感染的同时给予肠外营养添加谷氨酰胺以加强补充蛋白质。

 

术后第5天,患者意识状况较前有所改善,颅内压波动于14~17 mmHg,但肺部情况差,自主呼吸急促,持续辅助呼吸机,遂于2022年12月20日行“气管切开术”,手术顺利。

 

术后继续呼吸机辅助呼吸,并持续抗感染治疗,之后患者因肺部损伤合并肺部感染严重,予转重症医学科进一步治疗,期间患者颅内压逐渐降至正常,逐步减少甘露醇,并经持续肠内肠外营养支持、抗感染、肺部重症护理等治疗后,患者肺部情况逐渐稳定,自主呼吸改善并逐渐停用呼吸机。

 

于2023年1月11日转回神经外科,停用肠外营养,继续予肢体康复训练、肠内营养支持等治疗,患者意识、肢体、语言功能逐渐改善,待患者肺部状况进一步改善后,拔除气切套管后办理出院。

 

于2023年3月15日患者返院行颅骨缺损修补术,手术过程顺利,待手术切口愈合良好后顺利出院继续康复。

 

5.治疗结果、随访及转归

 

经积极治疗,患者最终治愈。生活能基本自理,但言语含糊,命名困难,KPS评分60分。

 

讨论

 

神经危重脑损伤患者的成功救治有赖于临床重症综合评估诊疗,在积极治疗原发脑损伤的同时,及时有效治疗继发性脑损伤从而降低颅内压对提高救治成功率至关重要。此外,如何有效防治并发症也是改善患者预后的一个重要方面,而早期营养支持是降低并发症的一项重要基础治疗手段,其中充足的蛋白质供应越来越受到关注,因为达到蛋白质目标似乎比提供热量需求更重要[3]

 

较高的蛋白剂量与死亡率降低、更少呼吸机使用天数、提示多器官衰竭的指标改善以及肌肉力量的保留有关[4]。此外,免疫细胞的数量与功能也依赖于体内足够可用的蛋白质[5]

 

在创伤性脑损伤患者中,热量供应增加与死亡率和并发症降低有关,无论给药途径如何,早期开始营养与良好结局相关。一项介入性试验发现,接受早期补充肠外营养的患者感染并发症的发生率较低[6]。在最近的一项荟萃分析研究中,如果肠内喂养不能满足ICU患者的营养需求,补充肠外营养与减少院内感染和降低ICU死亡率有关[7]。这些发现提示我们当肠内营养无法实现营养目标时,在重症颅脑损伤患者中可以及时补充肠外营养。

 

既往已有报道单纯肠内营养可能无法为神经重症患者提供计算的热量和蛋白质需求,这主要与继发性(包括感染性)并发症有关[8]。感染性并发症和伴随的炎症反应可能导致胃肠动力障碍,部分患者可能出现误吸进一步造成肺炎加重,从而引起肠内营养更加不足[9]

 

补充性肠外营养有助于可靠地实现营养目标,相关研究发现与预后不良的患者相比,功能预后良好的患者接受更多的肠外营养补充,且较高的蛋白质供应与脓毒症或肺炎患者的良好功能结果相关,这可能是由于蛋白质在维持免疫功能方面的重要作用[5]

 

本例患者以重型颅脑损伤为主要临床表现,同时合并有双肺挫伤、多发骨折等多发伤,术后意识障碍持续时间久,且继发肺部感染重,长时间依靠呼吸机辅助,机体营养消耗大,营养需求量大,在肠内营养无法满足正常营养目标时,我们通过早期采用补充性肠外营养,其蛋白质剂量比之前报道的要高得多[10]

 

肺炎患者或其他重症感染患者,肠内营养耐受性显著降低,且蛋白质在肠道中的消化和吸收依赖于能量,但交感神经应激反应往往继发于神经重症患者,在此期间患者肾上腺素水平升高可能导致胃肠道灌注减少,从而出现肠内营养蛋白不完全摄取,导致能量不足[11]

 

因此,补充肠外营养似乎是增加神经重症患者体内营养蛋白质的一种有效且安全的方法。

 

综上所述,当早期肠内营养不足以满足神经重症患者计算的能量和蛋白质需求时,及时补充肠外营养是安全的,患者良好的预后与营养目标的可靠实现以及更高的蛋白质给药有一定的相关性,尽管如此,未来仍需更多的患者或前瞻性研究予以进一步验证。

 

参考文献

 

[1] Härtl R , Gerber LM , Ni Q ,et al. Effect of early nutrition on deaths due to severe traumatic brain injury[J]. J Neurosurg, 2008,109(1):50-56.

[2] Reignier J , Boisramé-Helms J , Brisard L ,et al. Enteral versus parenteral early nutrition in ventilated adults with shock: a randomised, controlled, multicentre, open-label, parallel-group study (NUTRIREA-2)[J]. Lancet, 2018,391(10116):133-143.

[3] Arabi YM , Aldawood AS , Haddad SH ,et al. Permissive underfeeding or standard enteral feeding in critically ill adults[J]. N Engl J Med, 2015,372(25):2398-2408.

[4] Nicolo M , Heyland DK , Chittams J ,et al. Clinical outcomes related to protein delivery in a critically ill population[J]. J Parenter Enteral Nutr, 2015,40(1):45-51.

[5]Weijs PJ , Cynober L , DeLegge M ,et al. Proteins and amino acids are fundamental to optimal nutrition support in critically ill patients[J]. Critical Care, 2014,18(6):591.

[6] Heidegger CP , Berger MM , Graf S ,et al. Optimisation of energy provision with supplemental parenteral nutrition in critically ill patients: a randomised controlled clinical trial[J]. Lancet, 2013,381(9864):385-393.

[7] Alsharif DJ , Alsharif FJ , Aljuraiban GS ,et al. Effect of supplemental parenteral nutrition versus enteral nutrition alone on clinical outcomes in critically ill adult patients: a systematic review and meta-analysis of randomized controlled trials[J]. Nutrients, 2020,12(10):2968.

[8] Schmidt JM , Claassen J , Ko SB ,et al. Nutritional support and brain tissue glucose metabolism in poor-grade SAH: a retrospective observational study[J]. Critical Care, 2012,16(1):R15.

[9] Ukleja A . Altered GI motility in critically ill patients: current understanding of pathophysiology, clinical impact, and diagnostic approach[J]. Nutr Clin Pract, 2010,25(1):16-25.

[10] Badjatia N , Monahan A , Carpenter A ,et al. Inflammation, negative nitrogen balance, and outcome after aneurysmal subarachnoid hemorrhage[J]. Neurology, 2015,84(7):680-687.

[11] Naredi S , Lambert G , Edén E ,et al. Increased sympathetic nervous activity in patients with nontraumatic subarachnoid hemorrhage[J]. Stroke, 2000,31(4):901-906.