您所在的位置:
首页 新闻列表 文章详情

病例分享 | 急性氟乙酰胺中毒性脑病典型影像学表现1例

2024年09月09日 来源中国临床案例成果数据库 阅读:238次

 

病史摘要 患者,男性,30岁,主因"意识障碍1d"入院。

 

症状体征 生命体征无特殊。一般体格检查无异常。神经科体格检查:意识障碍,言语错乱,答非所问,定向力差,间断躁动,谵妄,瞳孔等大等圆,对光反射阳性,颈部稍韧,四肢自主活动,肌张力高,腱反射(++),双侧病理征未引出,余体格检查不能配合。

 

诊断方法 神经科症状和体征,头部核磁平扫和强化,毒物分析(血液和尿液),病史追溯(毒物服用史)。

 

治疗方法 建立深静脉通路,大量晶体液补液利尿促排,防止肌红蛋白阻塞肾小管,咪达唑仑镇静,丙戊酸钠抗癫痫,还原型谷胱甘肽保肝,左卡尼汀改善心肌损伤,维生素C抗氧化,连续5d高压氧舱等治疗。

 

临床转归 发病第10天治愈出院,肝肾功能基本正常,患者无不适症状和异常表现;2个月后随访复查头部核磁无明显异常。

 

关键词:氟乙酰胺;中毒性脑病;核磁影像学;多脏器功能损伤

 

氟乙酰胺是一种致挛性杀鼠剂的有效成分,进入机体后通过脱胺形成氟乙酸,进而干扰正常的三羧酸循环,诱发各个系统功能障碍,其中毒后临床表现以多脏器损伤为主。以往杀鼠剂中毒并不少见,但前期就诊很难短时间内完善头部核磁共振成像(magnetic resonance imaging,MRI)检查,而典型的中枢神经系统影像学表现的临床病例并不多见;本篇报道了1例氟乙酰胺急性中毒后以中枢神经系统表现为首发症状的病例,病情发展过程中核磁影像的演变比较典型,能够加深临床医师对于氟乙酰胺急性中毒引发的中毒性脑病的认识同时减少误诊。

 

临床资料

 

1.一般资料

 

患者,男性,30岁,主因"意识障碍1d"入院。

 

本例患者于入院前1d余晚饭时家属发现其面色苍白,晚饭后患者与家属稍有言语争执,后患者突发四肢抽搐,双上肢屈曲,双下肢伸直,牙关紧闭,意识不清,2~3min后,抽搐症状缓解,仍意识不清,约40min后,患者大声叫喊后再发抽搐,持续约2min,随后患者躁动,辗转反侧,呼之可睁眼,不能应答,神情惊愕;约1h后就诊当地医院,期间患者再次出现上述症状,给予镇静和补液治疗(地西泮和复方氯化钠),行相关检查,患者处于镇静状态,症状无明显缓解,后家属就诊本院,急诊以"意识障碍原因待查"收入神内病区。后因化验提示肝酶和心肌酶高,脏器功能损伤,转入我科;病程中,患者意识障碍,躁动,不能自主进食,留置鼻胃管和尿管;患者既往体健,家属诉发病前情绪反常消极,高度可疑存在轻生倾向。

 

生命体征无特殊。

一般体格检查无异常。

神经科体格检查:意识障碍,言语错乱,答非所问,定向力差,间断躁动,谵妄,瞳孔等大等圆,对光反射阳性,颈部稍韧,四肢自主活动,肌张力高,腱反射(++),双侧病理征未引出,余体格检查不能配合。

患者既往体健。

否认传染病史。

否认手术和外伤史。

个人史、家族史无异常。

 

2.检查

 

 

发病当天外院头部计算机断层成像(computerized tomography,CT)未见明显异常,头部MRI提示双侧大脑半球广泛白质、侧脑室旁、胼胝体、双侧内囊后肢、双侧桥臂在弥散加权成像(diffusion weighted imaging,DWI)高信号,表观序列成像(apparent sequence imaging,ADC)可见低信号(图1)。外院化验:血肌酐(CR)114.4μmol/L,尿酸(UA)1281.1μmol/L,肌酸激酶(CK)438U/L。

 

图1 患者发病当天外院头部MRI情况

A~D:提示双侧大脑半球广泛白质、侧脑室旁、胼胝体、双侧内囊后肢、双侧桥臂在弥散加权成像(DWI)高信号;

E~H:提示相应区域表观序列成像(ADC)可见低信号

 

发病第2天,本院化验:谷丙转氨酶(ALT)63U/L,谷草转氨酶(AST)190U/L,CK 38817U/L,肌酸激酶同工酶(CK-MB)195U/L,CR 308.4μmol/L,血尿素氮(BUN)20.5mmol/L,UA 1327μmol/L,酶学指标和肾功能指标骤升;心电图提示窦性心律,无明显ST-T改变;送检毒物分析碳氧血红蛋白浓度0.9%(参考值小于10%),微量安定成分(与使用咪达唑仑和地西泮有关),未检出巴比妥类药物、乙醇、甲醇和有机磷成分,全血胆碱酯酶活力正常;腰穿检查:初始开放压8mmHg,脑脊液质地无色清亮,脑脊液总细胞5个,白细胞2个,红细胞1个,脑脊液葡萄糖3.8mmol/L(静脉即时血糖7.8mmol/L),蛋白0.4g/L,乳酸1mmol/L;同时脑脊液外检自身免疫性脑炎相关抗体、周围神经病变相关抗体、宏基因检测病毒性脑炎等检查。

 

发病第3天,头部MRI平扫提示双侧桥臂、双侧大脑脚、双侧内囊后肢、双侧脑室周围白质、双侧半卵圆中心和胼胝体DWI高信号(图2A~D),ADC低信号(图2E~H),液体翻转衰减恢复序列(fluid-attenuated inversion-recovery,FLAIR)稍高信号(图2I~L),脑白质广泛脱髓鞘,同时造影剂对比未见明显增强(图2M~P),头部CT提示相应区域广泛低密度(图2Q~T),考虑中毒性脑病可能性较大。化验凝血功能正常,尿常规酮(KET)2+,尿色深,全血肌红蛋白(MYO)>400ng/ml(参考值<100ng/ml)。脏器功能指标达到峰值:ALT 90U/L,AST 445U/L,CK 83212U/L,CK-MB 554U/L,CR 226.6μmol/L,BUN 19.6mmol/L,UA 1143μmol/L。毒物分析血和尿标本未检出毒品类成分(吗啡类、冰毒、苯丙胺、大麻、摇头丸、氯胺酮),未检出有机溶剂类成分(苯、甲苯、二甲苯、乙酸乙酯、三氯甲烷、甲酚、苯酚、丙醇)。

 

图2 患者发病第3天头部MRI平扫情况

A~D:提示双侧桥臂、双侧大脑脚、双侧内囊后肢、双侧脑室周围白质、双侧半卵圆中心和胼胝体DWI高信号;

E~H:提示相应区域ADC低信号;

I~L:提示相应区域FLAIR稍高信号;

M~P:提示造影剂对比未见明显增强;

Q~T:提示头部CT相应区域广泛低密度

 

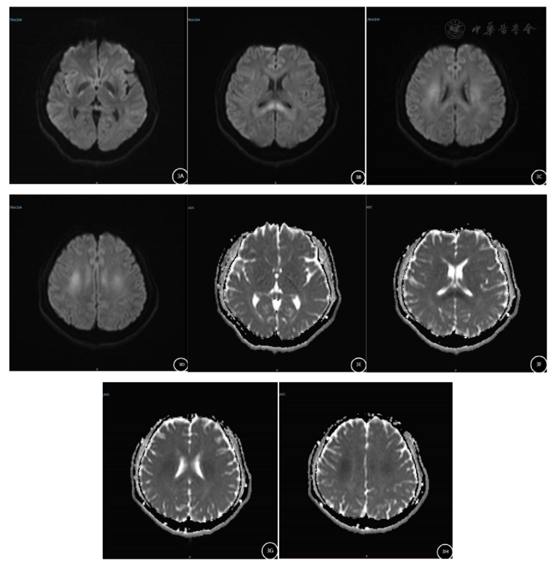
发病第6天,头部MRI平扫提示相应病变区域范围减少,信号较前减弱,强度降低(图3)。化验:激酶、肝功、肾功能指标较前明显改善:ALT 104U/L,AST 129U/L,CK 5969U/L,CK-MB 72U/L,CR 87.7μmol/L,BUN 9.9mmol/L,UA 579μmol/L,同日,毒物分析提示血液和尿液标本可见微量氟乙酰胺成分,未检出溴鼠灵、溴敌隆和敌鼠钠成分;脑电图未见明显痫样波,诱发电位可见部分交感和副交感功能障碍。

 

图3 患者发病第6天头部MRI平扫情况

提示双侧桥臂、双侧大脑脚、双侧内囊后肢、双侧脑室周围白质、双侧半卵圆中心和胼胝体,相应病变区域范围减少,信号较前减弱,强度降低

A~D:显示核磁DWI信号;

E~H:显示核磁ADC信号

 

发病第8天脏器功能指标基本正常:ALT 74U/L,AST 16U/L,CK 320U/L,CK-MB 17U/L,CR 96.9μmol/L,BUN 6.7mmol/L,UA 502μmol/L,反映脏器功能损伤的指标明显改善,接近至正常水平(图4,图5,图6,图7,图8,图9)。

 

图4 患者肌酸激酶变化趋势

 

图5 患者肌酸激酶同工酶变化趋势

 

图6 患者血肌酐变化趋势

 

图7 患者尿素氮变化趋势

 

图8 患者尿酸变化趋势

 

图9 患者谷草转氨酶变化趋势

 

入院第10天,上述病变信号基本消退,胼胝体压部存在少量异常信号(图10)。

 

图10 患者入院第10天头部MRI演变情况

提示上述病变信号基本消退,胼胝体压部存在少量异常信号 

A~D:显示核磁DWI信号;

E~H:显示核磁ADC信号

 

3.诊断与鉴别诊断

 

诊断:

1.急性氟乙酰胺中毒性脑病:

根据患者发病过程,神经科症状和体征,头部神经影像学检查,结合氟乙酰胺服用史,毒物分析提示血液和尿液标本可见微量氟乙酰胺成分,诊断明确。

 

2.继发性癫痫:

患者发病时出现抽搐的临床表现,颅内存在明确的原发病灶,虽脑电检查未获取实时的痫样波,但随着病情好转以及抗癫痫治疗,症状明显改善,可诊断。

 

3.多脏器功能损伤:

心肌损伤(CK和CK-MB上升,肌红蛋白升高),肝脏损伤(ALT和AST上升)和肾脏损伤(CR、BUN和UA上升),可诊断。

 

鉴别诊断:

临床上多数的脑病均会出现以累及白质为主的对称性影像学改变;中毒性、代谢性或放射性脑病有其相似之处,且临床症状包括意识障碍、抽搐发作、精神和行为异常,认知障碍等常见症状,又各有特点。

 

1.中毒性脑病(有明确的毒物接触史):

(1)包括甲醇、苯等工业用有机溶剂。甲醇以视觉障碍为首发,常累及双侧侧脑室旁、半卵圆中心和额顶枕叶,呈现多发片状病灶,在T2WI和FLAIR上显示双侧壳核高信号,往往累及深部白质,DWI提示弥散受限,无强化,针对性治疗后可明显缓解,部分伴有出血性坏死,提示预后不良。

(2)有机磷农药。常累及双侧侧脑室、基底节、丘脑、胼胝体和顶枕叶皮层下白质,T2WI、FLAIR和DWI上呈稍高信号。治疗后,症状缓解不明显。

(3)海洛因等毒品。震颤麻痹和偏身投掷运动症状典型,可合并神经血管病变,部分患者伴有苍白球梗死。在T2WI可见大脑、锥体系、基底核、小脑白质和内囊后肢对称性高信号,DWI弥散受限。治疗后可明显缓解。

(4)化疗药物。双侧基底节和额顶叶白质T2WI、FLAIR稍高信号,DWI弥散轻微受限;治疗后效果差,无缓解。

(5)一氧化碳中毒。双侧侧脑室旁和额顶枕叶白质DWI稍高信号,迟发性脑病可出现T2WI稍高信号,治疗后可缓解。

(6)减肥药物,如赛马特林等。典型的畏光症状,累及胼胝体、脑桥和皮质下白质,T2WI、FLAIR和DWI高信号,ADC低信号;治疗后数天症状即可消失。

 

2.代谢性脑病(有明确的慢性病史):

(1)Wernick脑病。因病灶常累及中脑导水管、三脑室和侧脑室旁,常出现声音嘶哑、下肢力弱和眼球固定等症状。

(2)低血糖脑病。广泛累及大脑皮层,同时伴有双侧基底节、丘脑和白质病变,DWI呈高信号;治疗后数天内迅速缓解。

(3)肝性脑病。典型的扑翼样震颤,累及苍白球、壳核和尾状核,治疗后可改善。

(4)尿毒症性脑病。常累及侧脑室和半卵圆中心,T2WI和FLAIR稍高信号,治疗效果差。

(5)桥本脑病。女性常见,双侧脑室旁和半卵圆中心DWI稍高信号,治疗效果好。

 

3.自身免疫性脑炎:

女性常见,伴有肿瘤如畸胎瘤,合并副肿瘤综合征,多数以意识障碍、精神行为异常为前驱症状,可有发热,癫痫症状典型,会明显演变为癫痫持续状态,部分患者发展为超级难治性癫痫,常累及海马、额叶底部、岛叶等大脑皮质、基底节、小脑和脑干,FLAIR和DWI稍高信号,影像学不具备典型的对称性改变,定位症状明显,相关抗体如N-甲基-D-天门冬氨酸受体抗体阳性可协助诊断。

 

4.治疗

 

发病初期,患者精神行为异常,躁动明显,急诊接诊医师倾向于自身免疫性脑炎,代谢性脑病,给予咪达唑仑和地西泮镇静治疗;收入本院神经内科;入院第2天,患者意识情况和精神行为能力轻度改善,但考虑到心肌、肝脏和肾脏等多脏器功能损伤,尿色较深,多脏器功能损害,考虑中毒性脑病的可能性较大,同时存在脏器功能进一步恶化需要血液净化治疗(如血浆置换)以及发生癫痫持续状态需要人工气道支持的可能性,告知家属病情,交代病危,转往ICU进一步治疗;ICU复查腰穿,测压、留取脑脊液常规、生化,送检自身免疫性脑炎抗体、中枢神经脱髓鞘病变抗体、周围神经病变抗体和脑脊液病原学宏基因监测;反复询问不同家属有关患者的详细病史,包括职业,近期生活状态,家属诉患者近期因故情绪抵触、低落、反常,基于此可疑存在轻生倾向,同时根据相关病史和影像学资料,高度可疑中毒性脑病,给予建立深静脉通路大量补液(晶体液3~4L/d),利尿促排,冲刷肾小管,防止肌红蛋白和激酶堵塞肾小管,镇静实施脑保护,丙戊酸钠抗癫痫,保护脏器功能(还原型谷胱甘肽保肝,左卡尼汀改善心肌损伤,维生素C注射液抗氧化),鼻胃管行早期肠内营养支持,加强气道护理,减轻误吸风险,抑酸等治疗,同时告知家属行血液净化的可能性,持续行高压氧舱治疗;因患者从事电焊工职业,接触有机溶剂的可能性大,电话询问作坊主,予以否认,复查血、尿标本的毒物分析。

 

因患者发病当天晚餐进食部分成品熟食,家属同食用未有症状,送检剩余样品未检出氟乙酰胺成分;后脏器功能指标明显好转,持续恢复,症状逐渐改善,治疗效果确切;随后发病第6天患者病情明显好转,神清语畅,未诉不适,生命体征平稳,体格检查无明显阳性体征,与患者真诚沟通后,患者道出因故发病前几日自行购买"灭鼠药",当日服用后出现此次病情,同时外检血和尿毒物分析存在氟乙酰胺成分,诊断既已明确,病情稳定,转出ICU;复查化验基本正常;CK、CK-MB、CR、BUN、UA和AST呈明显下降至正常水平(图4,图5,图6,图7,图8,图9)。发病第10天,影像学接近正常(图10)。

 

5.治疗结果、随访及转归

 

患者痊愈出院;2个月后随访复查头部MRI无特殊(图11);患者无不适症状和异常表现。

 

图11 患者发病2个月后复查头部MRI情况

提示无异常信号

A~D:显示核磁DWI信号;

E~H:显示核磁ADC信号

 

讨论

 

氟乙酰胺作为20世纪90年代之前在全球范围内已明确禁用的致挛性杀鼠剂,属于氟乙酸盐的一种,因其理化性质无色无臭,易溶于水,故极易导致误服引发人体急性中毒症状。主要通过阻断三羧酸循环,影响机体的细胞能量代谢,导致靶器官和组织细胞缺血缺氧,尤其对于脑细胞的能量供给和氧供影响最为明显;再者,中间代谢产物如氟乙酸和氟柠檬酸等又能通过直接的神经细胞毒性作用产生危害[1,2,3,4]氟乙酰胺中毒后的损害可累及多个系统。刘仁树等人通过对急性氟乙酰胺中毒死亡的年轻病例进行尸检的结果发现和临床理化检查结果基本吻合,病理诊断涵盖:脑细胞水肿;心肌细胞变性;肺间质和肺泡的水肿;肝细胞的炎性浸润;肾小管的坏死;消化道黏膜的广泛糜烂等[5]。临床上,虽然中枢神经系统的症状和体征较为明显,但又不典型,如果缺乏详细的病史,以及毒物检测手段受限,头部CT早期不显影,临床医师对此类疾病缺乏诊治经验,往往导致误诊和漏诊;如果对急性氟乙酰胺中毒的脑部核磁表现有所了解,其典型的核磁影像学表现,通常令临床医师印象深刻,就能够倾向性地获得一定的线索,进而逐步确诊。

 

氟乙酰胺中毒性脑病其临床表现包括以下方面:干扰三羧酸循环,累及多脏器,尤其以中枢神经系统为主,表现为认知、意识障碍,精神行为异常,定向力减退等类似于脑炎的临床表现,又不甚典型;同时心血管受累后,出现心肌酶学的损伤,肝功能受损出现肝酶明显上升,部分出现黄疸[6];肾脏受累出现急性肾功能损伤,甚至少尿、无尿引发急性肾衰竭[2]。患者首诊多半以脑系科收治为主,但系统诊治往往需要ICU的脏器功能替代及生命支持治疗,如血浆置换、有创机械通气、床旁肾脏替代治疗、血流动力学监测等,临床诊治有赖于对于详尽病史的追溯,以及典型的神经系统影像学资料,确诊需要血液及相关体液的毒物分析。其预后呈现两极分化,早期轻症患者往往需要阻断毒物接触,经过大量补液,短时间即可痊愈;中型患者能够通过积极地预防和处理相关多脏器功能不全等并发症,如心肌损伤、癫痫发作、肝功能损害、急性肾衰竭等,依赖于血液净化、高压氧、机械通气及抗氧化剂等治疗,能够及时抑制病情,亦能获得良好的治愈效果,而重型患者往往是由于发现不及时,氟乙酰胺摄入量过多,病情延误,多脏器功能衰竭,癫痫持续状态,严重肺感染,重型肝衰竭,恶性心律失常及循环衰竭而死亡[7]

 

氟乙酰胺进入人体后,由于其易溶于水等理化特点,很快生成转化为氟柠檬酸,导致脑组织尤其是以脑细胞出现细胞毒性脑水肿的病理改变,在影像学上特别是核磁共振弥散加权上呈现高信号,在表观弥散序列成像上呈现低信号。王福军等[1]通过对51例氟乙酰胺中毒的病例进行轻度、中度、重度分型,研究发现佐证了氟乙酰胺中毒所引起的脑部病变性质是细胞毒性脑水肿,并且证实氟乙酰胺中毒病变部位主要是胼胝体的压部,病情严重者可累及皮质和皮质下广泛白质。其特点又符合大多数临床上可见的代谢性和中毒性等脑病的影像变化,即是可逆性,核磁强化无增强,7~10d影像学即可消失。急性期磁共振T2加权像(T2WI)、弥散加权成像(DWI)以及液体衰减翻转恢复序列(FLAIR)均呈现出高信号,表观序列成像(ADC)低信号,增强扫描无强化,影像学变化快,其预后绝大多数良好[8]

 

氟乙酰胺中毒临床确诊后理论上可尽早使用特效解毒剂乙酰胺肌注,产生竞争性抑制,同时应用维生素C抗氧化、氯化钙减低恶性心律失常的发生,尽早洗胃、导泄、补液、促排的同时要防治严重并发症,如脑水肿、多脏器功能损伤如心肝肾、继发性感染、癫痫持续状态、水电解质酸碱平衡严重紊乱;部分报道涉及激素冲击治疗,以及中西医结合能够获得良好的预后,但尚无确切的指南和共识进行推荐[1,7]

 

氟乙酰胺中毒性脑病当前可能的发生机制如下:作为高致命性神经毒物,其一旦进入人体后,经过化学反应生成的氟乙酸与辅酶A和三磷酸腺苷形成复合物再经过草酰乙酸的作用形成敷柠檬酸,这是诱发后续各种病理结果的关键中间产物[3,4,5]。氟柠檬酸一方面通过阻断三羧酸循环导致氧化磷酸化受阻,脑细胞能量代谢障碍,氧供和氧耗失平衡,引起缺血缺氧性脑病;另一方面氟柠檬酸又可直接作用于神经通路及大脑皮层引起阵挛、抽搐等症状,再者,癫痫持续状态耗氧量增加以及神经递质大量释放,加剧了缺氧及脑损伤[9]。早期的影像学改变并不典型,尤其是头部CT分辨率较低,早期水肿局限,诊断率不足,而颅脑核磁成为其辅助诊断的有效手段,虽然核磁表现没有特异性,但是相对典型的影像学特点,能够为接下来的诊疗思路提供依据和线索。双侧大脑皮层及皮层下广泛白质病变,部分合并累及胼胝体,核磁提示细胞毒性水肿[10]。如果临床医师多数能考虑到代谢性脑病、中毒性脑病、自身免疫性脑炎等相关疾病,那么接下来就势必会进行相关的化验和检查,及反复地追问病史获得确切的诊疗信息。

 

临床上,往往由于患者及家属未提供详细病史时,无法获得重要的诊断依据,故早期临床上易误诊如缺血性脑血管病、自身免疫性脑炎、癫痫、代谢性脑病等诊断,但与其他中毒性脑病的影像学相比较,氟乙酰胺中毒主要体现在以DWI、FLAIR高信号,ADC低信号的细胞毒性水肿的特点[10,11]。这一特征性表现往往是临床医生进行确诊的切入点,当怀疑到中毒性脑病时,毒物检查是进一步诊疗的关键,这就更需要临床医生回归到基本功,病史的询问和家属的沟通就至关重要,有了大致的方向,毒物检测就能够更为具体,更为精准,不至于大海捞针,那么确诊也就迎刃而解。临床上与其相鉴别的中毒性脑病,如有机溶剂苯酚中毒MRI表现为广泛白质和小脑齿状核受累,其特点为血管源性脑水肿,而有机磷中毒造成细胞性和血管源性双重水肿,脑组织肿胀明显,脑沟、脑裂变窄,灰质和白质分界不清[10]。氟乙酰胺中毒起病后,临床表现复杂多样,广泛累及多个系统,特点以中枢神经系统症状为主诉时,极易误诊,同时伴随着症状进展,生化指标的改变,多器官功能的损伤,干扰了临床诊断,易导致多元论的出现[12]。再者,由于该类药物已被明确禁止,市面上不宜获取,故接触毒物的病史相对隐蔽,且不易被家属察觉,而患者发病后持续的意识障碍,基本上阻断了对病史的详细了解的切入点。氟乙酰胺中毒因其主要累及广泛白质的特点,临床上往往是可逆的[8,13,14]。诊疗的重点在于早期对毒物的发现;及时启动脏器功能的保护;积极预防和处理相关的并发症;一旦出现癫痫大发作及多脏器功能衰竭,预后相对不良[15]。氟乙酰胺中毒的早期诊断是进行有效的针对性治疗和影响预后的关键性因素,误诊时间愈长,预后和结局或后期并发症的发生率就愈高。同时毒物检测的范围、专业性、系统性相对不足,尤其是在基层医院,毒物检测的能力有待提高,需要在短时间内出具检测结果的前提下,亟待进一步细化和完善毒物数据库,包括建立样品前处理,中毒症状,解毒方法及中毒物质光谱等综合数据库的建设[16,17,18]

 

诚然,中毒性疾病的诊断有赖于明确的病史,进而追本溯源,氟乙酰胺中毒亦不例外;典型的头颅MRI等影像学改变,尤其是DWI和ADC成像特点,虽然不具有高度的特异性,但是相对的特征性,往往能够为临床医师提供诊断的方向,进而为临床救治争取时间,减少并发症的出现,改善预后。

 

参考文献

 

[1] 王福军,林锦乐,田艳军,等. 急性氟乙酰胺中毒患者颅脑MRI影像学表现[J]. 中华急诊医学杂志, 2020,29(4) :589-591.

 

[2] Wang R , Zhuo L , Wang Y ,et al. Lessons learned from poisoning cases caused by 2 illegal rodenticides: Tetramine and fluoroacetamide[J]. Medicine (Baltimore), 2016,95(41):e5103.

 

[3] Proudfoot AT , Bradberry SM , Vale JA . Sodium fluoroacetate poisoning[J]. Toxicol Rev, 2006,25(4):213-219.

 

[4] Goncharov NV , Jenkins RO , Radilov AS . Toxicology of fluoroacetate: a review, with possible directions for therapy research[J]. J Appl Toxicol, 2006,26(2):148-161.

 

[5] 刘仁树,张慧莉,邱泽武,等. 禁用杀鼠剂中毒与MODS[J]. 中华急诊医学杂志, 2001,10(4) :283.

 

[6] 林洁明,江朝强,欧健苹,等. 以心脏损害为主的急性氟乙酰胺中毒[J]. 中华劳动卫生职业病杂志, 2002,20(5) :344-346.

 

[7] Wen W , Gao H , Kang N ,et al. Treatment of severe fluoroacetamide poisoning in patient with combined multiple organ dysfunction syndrome by evidence-based integrated Chinese and Western medicines: a case report[J]. Medicine (Baltimore), 2017,96(27):e7256.

 

[8] Lu A , Yuan F , Yao Y ,et al. Reversible leukoencephalopathy caused by 2 rodenticides bromadiolone and fluoroacetamide: a case report and literature review[J]. Medicine (Baltimore), 2021,100(9):e25053.

 

[9] Tormoehlen LM . Toxic leukoencephalopathies[J]. Psychiatr Clin North Am, 2013,36(2):277-292.

 

[10] Shah NR , Tavana S , Opoku A ,et al. Toxic and metabolic leukoencephalopathies in emergency department patients: a primer for the radiologist[J]. Emerg Radiol, 2022,29(3):545-555.

 

[11] Özütemiz C , Roshan SK , Kroll NJ ,et al. Acute toxic leukoencephalopathy: etiologies, imaging findings, and outcomes in 101 patients[J]. AJNR Am J Neuroradiol, 2019,40(2):267-275.

 

[12] 李淦生,李宏. 以癫痫大发作为首发症状的急性氟乙酰胺中毒五例报告[J]. 中华神经科杂志, 1997,30(5) :264.

 

[13] Reith W , Haußmann A . Toxische Veränderungen des zentralen Nervensystems [Toxic changes of the central nervous system][J]. Radiologe, 2018,58(12):1067-1079.

 

[14] Özütemiz C , Roshan SK , Kroll NJ ,et al. Concomitant acute toxic leukoencephalopathy and posterior reversible encephalopathy syndrome[J]. Neuroimaging, 2018,28(5):535-541.

 

[15] Taitelman U , Roy A , Hoffer E . Fluoroacetamide poisoning in man: the role of ionized calcium[J].Arch Toxicol Suppl, 1983,6:228-231.

 

[16] Yang L , Zhang X , Shen D ,et al. Hapten design and monoclonal antibody to fluoroacetamide, a small and highly toxic chemical[J]. Biomolecules, 2020,10(7):986.

 

[17] Liu L , Hu S , Zhai S ,et al. Analysis of monofluoroacetic acid in human plasma by UFLC-MS/MS and its application in patients with sodium monofluoroacetate or monofluoroacetamide poisoning[J]. Pharm Biomed Anal, 2018,158:370-375.

 

[18] Xu X , Song G , Zhu Y ,et al. Simultaneous determination of two acute poisoning rodenticides tetramine and fluoroacetamide with a coupled column in poisoning cases[J]. J Chromatogr B Analyt Technol Biomed Life Sci, 2008,876(1):103-108.