您所在的位置:
首页 新闻列表 文章详情

病例分享 | 以发热和肺部病变首发的NK/T细胞淋巴瘤1例

2024年10月08日 来源中国临床案例成果数据库 阅读:247次

 

病史摘要 患者,男性,18岁,因"咳嗽、咳痰、发热10余天,加重伴喘息1周"入院。10余天前无诱因出现咳嗽、咳痰,多量白色黏痰,午后明显,伴发热,热峰39℃,伴有喘息、乏力,无盗汗、寒颤,无腹痛、腹泻、尿频、尿急等,遂至社区医院就诊,考虑"肺炎",予"左氧氟沙星"抗感染治疗4d,仍间断发热,就诊本院呼吸科因症状加重收治ICU。近半年体重下降10kg。平素健康。青霉素、头孢过敏。

 

症状体征 精神差,浅表淋巴结未触及,躯干部皮下三个结节。体温38.4℃,脉搏120次/min,血压120/73mmHg(1mmHg=0.133kPa),心率120次/min;吸空气下,呼吸35次/min,SpO2 84%,双肺呼吸音粗,双下肺可闻及湿啰音。

 

诊断方法 肺穿刺活检、宏基因、PET/CT、淋巴结穿刺活检。

 

治疗方法 广覆盖抗感染治疗,淋巴瘤化疗。

 

临床转归 入院18d临床死亡。

 

关键词:不明原因发热;肺部病变;EB病毒感染;NK/T细胞淋巴瘤;噬血细胞综合征

 

NK/T细胞淋巴瘤起源于活化NK细胞或细胞毒性T淋巴细胞,具有高度侵袭性,男性好发,男女比例为2.7∶1~4∶1,主要发生鼻和鼻咽区,只有20%患者发生在鼻区外,称为非鼻NK/T细胞淋巴瘤,累及部位包括皮肤、胃肠道、睾丸、肌肉和子宫,而以肺部为首发部位的罕见[1,2,3]。本例患者以发热和肺部病变为首发,同时累及淋巴结,广谱抗感染治疗无效,经肺组织活检、宏基因、PET/CT、淋巴结活检最终确定诊断,但病情进展迅速出现噬血细胞综合征,最终治疗失败。希望通过该病例提高对本病的认识,丰富不明原因发热的诊断思路,认识检查的局限性,以期达到早诊断,早治疗,改善临床预后。

 

临床资料

 

1.一般资料

 

患者,男性,18岁,因"咳嗽、咳痰、发热10余天,加重伴喘息1周"于2022年3月21日入院。患者诉10余天前无明显诱因出现咳嗽、咳痰,痰多为白色黏痰,午后明显,伴发热,热峰39℃,自服退热药物(具体不详)后体温可降至正常。1周前再次出现发热,仍以午后明显,热峰38℃,伴有喘息、乏力,无盗汗、咯血、畏寒、寒战等,无腹痛、腹泻、尿频、尿急等,遂至社区医院就诊,考虑"肺炎",予"左氧氟沙星"抗感染治疗4d,仍有间断发热,为进一步诊治收入本院呼吸科。起病以来精神、睡眠、饮食可,大小便正常,近半年来体重下降10kg(自诉减肥)。既往体健。有青霉素、头孢类过敏史。父亲有"胃癌"病史。

 

2.检查

 

(一)2022年3月21日(入院当日)后

1.实验室检查

完善血、尿常规、感染相关蛋白、肝肾功能、凝血功能、心肌酶、肥达实验、结核感染T细胞检测、结核DNA、肿瘤标志物、抗核抗体、ANCA、淋巴亚群绝对计数分析、12项细胞因子、EBV、CMV、血培养、痰培养、G实验、GM实验等异常项目(表1,表2)。

 

表1 患者血常规、感染相关蛋白指标变化

注:"-"表示无数据

 

表2 患者肿瘤标志物、抗核抗体、淋巴亚群、EBV指标变化

 

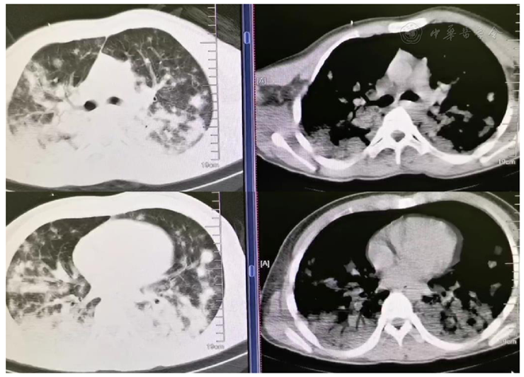
2.胸部CT(3月21日):

双肺多发结节、片结、片状密度增高影伴斑片状渗出,多考虑感染性病变,血源性可能(图1)。

 

图1 患者入院第1天胸部CT表现

 

3.腹部CT(3月22日):

(1)肝脏、脾脏肿大,腹腔及腹膜后多发肿大淋巴结;

(2)盆腔少量积液;

(3)腹盆部皮下脂肪层多发软组织结节(图2)。

 

图2 患者入院第2天腹部CT表现

A:肝脏、脾脏肿大;

B:腹腔及腹膜后多发肿大淋巴结,腹盆部皮下脂肪层多发软组织结节

 

4.淋巴结超声

双侧颈部、锁骨上窝、腋窝内、腹股沟区多个淋巴结可见,部分肿大。该阶段总结发现青年患者细胞免疫功能低下,EBV感染,肿瘤标志物升高,细菌感染指标不高,但影像学提示肺部血源性感染可能,腹部肝脾肿大,腹腔及皮下脂肪层淋巴结肿大,而抗感染治疗(见治疗版块)效果不佳。

 

5.复查肺部CT(3月25日):

双肺病灶较前增多进展,纵隔多发肿大淋巴结,进一步完善CT引导下经皮穿刺肺活检,等待病理结果中(图3)。

 

图3 患者入院第5天胸部CT表现

 

(二)2022年3月25日(入院4d)病情加重后

患者突感胸闷、气促,无胸痛、误吸、呛咳、咳粉红泡沫痰等,体格检查:体温37.0℃,心率123次/min,血压114/65mmHg(1mmHg=0.133kPa),面罩吸氧下(8L/min),呼吸33次/min,SpO2 87%,双肺听诊呼吸音粗,双下肺可闻及湿啰音。给予调高氧流量至10/min,甲泼尼龙40mg静脉滴注后患者喘息较前好转,维持于93%~95%,经ICU会诊后转入。动态监测相关指标,异常项目(表1,表2)。调整治疗方案(见治疗版块),病情一度好转,氧合指数128~250mmHg,床旁胸片好转(图4),体温正常3d,(3月29日)肺活检结果:重度炎症伴片状坏死(图5)。但其后患者仍间断发热,一般情况日益恶化,送检NGs检测(4月2日)肺泡灌洗液:烟曲霉、EB病毒、人疱疹病毒7型;外周血:CMV、EB病毒、人疱疹病毒7型(图6)。完善PET/CT检查:淋巴瘤浸润,建议穿刺活检明确(图7)。请血液科及头颈外科会诊后行颈部淋巴结切除术,送检病理;小剂量激素0.25mg/kg预化疗,减轻肿瘤负荷。颈部淋巴结病理(4月4日)回报:淋巴瘤可能(图8)。该阶段患者病情似乎有所控制,但细胞免疫功能仍低,肺活检及NGs病原学结果一度使我们认为感染是首要病因。但不能维持的治疗效果以及患者每况愈下的病情,使我们不得不思考更多的可能性,于是完善了PET/CT,同时患者体表可以摸到明显肿大的淋巴结,具备了淋巴结活检可能,为最终确诊疾病提供了依据。

 

图4 患者床旁胸片表现

A:(入院第5天)双肺多发结节、片结、片状密度增高影伴斑片状渗出,多考虑感染性病变,体温36.3℃,高流量吸氧,氧合指数233;

B:(入院第9天)双肺渗出,较前吸收,多考虑感染性病变,体温37.3℃,高流量吸氧,氧合指数253;

C:(入院第15天)双肺多发结节、片结、片状密度增高影伴斑片状渗出,大致同前,体温37.3℃,高流量吸氧,氧合指数218

 

图5 患者入院第9天肺活检结果 HE×40

 

图6 患者入院第10天NGs结果

A:(肺泡灌洗液)烟曲霉,EB病毒,人疱疹病毒7型;

B:(外周血)CMV,EB病毒,人疱疹病毒7型

 

图7 患者入院第13天PET/CT表现

 

图8 患者入院第15天淋巴结活检结果 HE×100

 

(三)2022年4月5日(入院15d)病情恶化后:

患者突然呼吸困难加重,无创呼吸机辅助通气,IPAP 14cmH2O(1cmH2O=0.098kPa),EPAP 6cmH2O,FiO2 100%,仍难以维持SpO2,氧合指数仅为64mmHg。22:20气管插管呼吸机辅助呼吸,PSIMV模式,PSV 16cmH2O,PEEP 8cmH2O,FiO2 100%,氧合指数51mmHg。同时体温40℃,血压下降,去甲肾上腺素[0.05~0.2μg/(kg·min)]维持血压。完善化验检查,警惕噬血细胞综合征(表1、表3)。淋巴结活检病理结果:NK-T细胞淋巴瘤Ⅳ期B组高危组,化疗方案:依托泊苷100mg静脉滴注(d2~d4)、地塞米松20mg静脉滴注(d1~d4)。但患者病情急转直下,出现持续高热40℃,循环、呼吸、血液、肾脏等多脏器功能衰竭,全身皮疹(图9),未能进一步完善NK细胞活性,CD25检测,最终考虑并发噬血细胞综合征可能。患者于4月7日(入院18d)临床死亡。

 

表3 患者凝血功能、肝肾功能、血脂、铁蛋白等指标变化

注:"-"表示无数据

 

图9 患者皮疹表现

A:(入院第14天)躯干、大腿出现皮疹,躯干部皮下结节处皮疹更加明显;

B(入院第18天)皮疹加重

 

3.诊断与鉴别诊断

 

经过上述诊治,逐步完善检查鉴别肺部病变、发热的多种可能后明确最终诊断:

1.NK/T细胞淋巴瘤Ⅳ期高危组;

2.噬血细胞综合征;

3.多脏器功能衰竭;

4.肺部感染;

5.EB病毒活动性感染。

 

4.治疗

 

1.抗感染

入院第1天,初步考虑社区获得性肺部感染,经验性覆盖细菌及病毒抗感染。入院第5天,转入ICU,根据已有化验检查考虑无明确细菌感染证据,换用不典型病原及抗真菌、病毒治疗。入院第9天,体温波动,考虑社区获得耐甲氧西林金黄色葡萄球菌不能排外,加用利奈唑胺抗阳性菌治疗。入院11天,体温仍有波动,肺组织活检及NGS结果支持感染致重度炎症伴斑片状坏死。治疗方案调整加强抗阴性菌治疗。抗感染治疗方案调整及体温波动情况见图10

 

图10 患者抗感染治疗方案调整及体温波动情况

 

2.化疗方案:

入院第13天,PET/CT提示淋巴瘤可能,淋巴结活检后小剂量激素0.25mg/kg(预化疗)。入院第15天,确定淋巴瘤后化疗方案:依托泊按100mg静脉滴注(第2~4天)、地塞米松20mg静脉滴注(第1~4天)。

 

3.一般治疗:

呼吸支持(鼻导管、面罩、无创呼吸机、有创呼吸机),循环支持、营养支持、纠正低蛋白血症、免疫球蛋白、维持电解质平衡等。

 

5.治疗结果、随访及转归

 

患者入院第18天临床死亡。

 

讨论

 

NK/T细胞淋巴瘤是结外EBV病毒相关的恶性肿瘤,细胞谱系主要为NK细胞,偶尔为T细胞,分布具有地域性,在亚太地区及太平洋岛国的发病率较高,在14.7%[4]淋巴瘤有着"伪装大师"的称号,NK/T细胞淋巴瘤是其中的甚者,在1897年被第一次描述,分为鼻腔、非鼻腔和播散性亚型。原发性肺NK/T细胞淋巴瘤罕见,具有高度侵袭性,初期表现为发热、咳嗽、咳痰、呼吸困难、盗汗、乏力,少数患者有痰中带血、胸痛甚至腹痛,临床表现无特异性,易与呼吸系统疾病混淆[5,6]。文献报道,NK/T细胞淋巴瘤与EBV感染密切相关,血浆EBV水平与更晚的疾病分期、B症状、更差的体能和更高的可溶性IL-2受体相关,血浆EBV负荷与疾病治疗反应、预后负相关[7]。当发热、淋巴结肿大、肝脾肿大及全血细胞减少这四种临床表现同时出现两种或两种以上时,发生噬血细胞综合征的概率极大。但淋巴瘤合并发热往往无规律可循,可伴有盗汗,体重下降,全身中毒症状不明显,抗感染治疗无效,皮质激素、非甾体类药物可退热,常可伴有多系统受损征象。本例患者在病情加重后转入ICU之前使用1次甲泼尼龙40mg之后的几天内体温正常,生命体征逐渐平稳,这也可能掩盖了病情的真实面目。由此给我们提示激素在发热的诊断中也能起到提示作用,同时也会影响真实的判断,如:对激素敏感的淋巴瘤,在使用激素后病情可能迅速得到缓解,淋巴结明显缩小,从而改变了疾病的原本进程,造成诊断困难,所以在发热患者中激素使用应慎重。

 

原发性肺NK/T细胞淋巴瘤的影像学表现缺乏特异性,很难与肺炎、肺结核、肺癌相鉴别,容易造成诊断及治疗不及时。CT检查时常可以发现肺部病变,包括双肺大片实变及浸润影,软组织肿块影,结节影,磨玻璃影,单侧或双侧肺不张、胸腔积液,有时可累及支气管,可能伴有肺门或纵隔淋巴结肿大[8,9]。本例患者的CT检查在早期便为我们提供了重要线索,肺部多发病灶,沿血管走行分布,提示血源性感染可能,肝脾肿大,腹腔及腹膜后淋巴结肿大,皮下脂肪层软组织结节。经验性抗感染治疗效果不佳,事后反思肺部病变应该是来源于淋巴管,并没有影响到肺泡通气血流比值,所以在患者肺部病变持续进展时,肺部氧合情况一直不错,出现病变与生理变化不相符。

 

PET/CT对于不明原因发热患者的病因诊断具有重要的意义。对于非鼻部病例,CT和MRI都无法检测到可能的隐匿性鼻原发灶。而NK/T细胞淋巴瘤的细胞内富含 18F-氟脱氧葡萄糖(FDG),有助于PET/CT成像,因此PET/CT是目前该淋巴瘤的影像学检查首选[10]。鉴于PET/CT的放射性造影剂潜在损害和价格昂贵等弊端,该病例早期没有选择该项检查。在前期肺组织活检及NGS的支持下,常规抗感染治疗后病情持续不缓解的情况下完善了PET/CT检查,为明确诊断及调整治疗方案做出了关键引导,重新认识到PET/CT在该类疾病中的巨大价值。

 

作为淋巴瘤诊断的金标准,病理活检无疑是诊断该疾病的关键点。疾病初期该患者体表无明显肿大淋巴结,无法进行淋巴结活检。仅针对原发较重的肺部病变进行了CT引导穿刺活检,病检提示重度炎症伴坏死,治疗重心便偏向于抗感染方面。随着病情进展出现淋巴结肿大,完善了淋巴结活检,最终才明确了诊断。该病例给我们带来的启示:组织穿刺活检,由于穿刺组织较小,会影响病理结果的判读,需要更有经验的病理医师,同时需要紧密结合临床,可能才能得到最真实的答案。另外,病理诊断虽然是金标准,但在某些情况下仍然需要怀有质疑态度。

 

治疗时机,作为每个疾病成功治愈的关键点,对NK/T细胞淋巴瘤患者更为重要。研究报道,有超过40%的淋巴瘤患者曾经被误诊,从初次就诊到明确诊断平均需要7.7个月,从高度怀疑淋巴瘤到病理学明确诊断,也大概需要2.5个月[4]。NK/T细胞淋巴瘤患者生存期短,预后差,通常在化疗的第1个周期或诊断的3个月内死亡。常用的CHOP(环磷酰胺、阿霉素、长春新碱、泼尼松)治疗方案往往效果不佳,近年来研究发现包含左旋门冬酰胺酶(L-ASP)的化疗方案可以提高疗效,如CHOP-L、SMILE(地塞米松、甲氨蝶呤、异环磷酰胺、左旋门冬酰胺酶、依托泊苷)方案等,自体造血干细胞移植(autologous hematopoietic stem cell transplantation,Auto-HSCT)作为晚期患者化疗后的挽救及巩固治疗,取得了一定成效。所以该疾病的治疗效果还在于早期诊断,早治疗,阻断噬血细胞综合征的发生。回顾病程,本例患者从起病到死亡仅30d左右,留给医护救治的时间仅有不到20d,从常规检查到肺穿刺活检,到病原学宏基因检测,PET/CT,最后到淋巴结活检,最终确定诊断,开始化疗仅2d就并发噬血细胞综合征导致死亡。本例留给我们的启示:今后遇到类似患者在可能的情况下需要提早进行PET/CT,淋巴结活检等相关检查,警惕NK/T细胞淋巴瘤的诊断,提高其发生噬血细胞综合征的认识,早诊断,早治疗,提高救治成功率,降低死亡风险。

 

参考文献

 

[1] Li L , Ma BBY , Chan ATC ,et al. Epstein-Barr virus-induced epigenetic pathogenesis of viral-associated lymphoepithelioma-like carcinomas and natural killer/T-cell lymphomas[J]. Pathogens, 2018,7(3):63.

 

[2] Chim CS , Ma ES , Loong F ,et al. Diagnostic cues for natural killer cell lymphoma: primary nodal presentation and the role of in situ hybridisation for Epstein-Barr virus encoded early small RNA in detecting occult bone marrow involvement[J]. J Clin Pathol, 2005,58(4):443-445.

 

[3] Kwong YL , Chan AC , Liang R ,et al. CD56 + NK lymphomas: clinicopathological features and prognosis [J]. Br J Haematol, 1997,97(4):821-829.

 

[4] Fiore D , Cappelli LV , Broccoli A ,et al. Peripheral T cell lymphomas: from the bench to the clinic[J]. Nat Rev Cancer, 2020,20(6):323-342.

 

[5] Kurtin PJ , Myers JL , Adlakha H ,et al. Pathologic and clinical features of primary pulmonary extranodal marginal zone B-cell lymphoma of MALT type[J]. Am J Surg Pathol, 2001,25(8):997-1008.

 

[6] Chien CC , Lee HS , Lin MH ,et al. Primary extranodal natural killer/T-cell lymphoma of bronchus and lung: A case report and review of literature[J]. Thorac Cancer, 2016,7(1):140-144.

 

[7] Inoue N , Nishimura N , Takahashi A ,et al. Retrospective analysis of NK/T cell lymphoma prognostic index (NKPI), EBV-DNA and soluble IL-2 receptor (sIL2R) for extranodal NK/T-Cell lymphoma, nasal type[J]. Blood, 2016,128(22):5360-5360.

 

[8] 武静,邱亚娟,许爱国,等. 误诊为肺炎的肺NK/T细胞淋巴瘤的临床特征[J]. 中华医学杂志, 2019,99(34) :2696-2700.

 

[9] 李亚茹,汪凌伊,王岚,等. 原发于肺的结外NK/T细胞淋巴瘤临床分析[J]. 中国呼吸与危重监护杂志, 2019,18(3) :276-279.

 

[10] Tse E , Kwong YL . NK/T-cell lymphomas[J]. Best Pract Res Clin Haematol, 2019,32(3):253-261.